Successful salvage therapy of ruxolitinib on interstitial pneumonia after long COVID or post-COVID-19 syndrome with follicular lymphoma: two case reports and literature review
Highlight box
Key findings
• Ruxolitinib might be a salvage therapy for coronavirus disease 2019 (COVID-19) patients having interstitial inflammation and persistent hypoxemia without high cytokine levels.
What is known and what is new?
• Cytokine storm is a characteristic and common manifestation of severe COVID-19. Immunocompromised patients with progressive COVID-19-related acute respiratory distress syndrome who received ruxolitinib therapy achieved clinical improvements.
• Whether ruxolitinib is effective in patients with post-COVID-19 syndrome or COVID-19 combined with interstitial inflammation and persistent hypoxemia.
What is the implication, and what should change now?
• Ruxolitinib might be a safe and effective alternative salvage therapy for patients with post-COVID-19 syndrome or COVID-19. We would conduct clinical studies to explore the dose and timing of ruxolitinib for interstitial pneumonia after long COVID or post-COVID-19 syndrome.
Introduction
The mortality rate ranges from 31% to 35% in patients with non-Hodgkin lymphoma compared to the general population during the coronavirus disease 2019 (COVID-19) pandemic (1,2). Furthermore, viral infection persisting for more than 6 weeks is associated with high mortality rates (1,3). Anti-CD19 chimeric antigen receptor (CAR) T cell therapy is performed after lymphodepleting conditioning, which produces long-term B cell deficiency and hypogammaglobulinemia (4). Data from 17 out of 353 patients who received anti-CD19 CAR T-cell therapy in the European registry in 2020 for symptomatic COVID-19 infection showed that the prevalence of COVID-19 was 4.8% (5). The overall mortality rate was 50%. In addition, approximately half of patients develop COVID-19 within 6 months of anti-CD19 CAR T cell therapy (5). Radiographic changes in pulmonary fibrosis were found in 45%, 30–36%, and 28% of patients at 1 month, 3–6 months, and 1 year after COVID-19 infection, respectively (6). Pro-inflammatory cytokines are elevated in patients with severe COVID-19, and several of these cytokines primarily signal through the Janus kinase (JAK)/signal transduction and transcriptional activator pathways (7,8). Given that these cytokines signal via JAK1 and JAK2, the efficacy and safety of ruxolitinib in COVID-19-related idiopathic pneumonia syndrome were evaluated (9). Here, we present two patients with refractory follicular lymphoma (FL) after anti-CD19 CAR T cell therapy who were successfully treated with ruxolitinib as salvage therapy for interstitial inflammation and persistent hypoxemia caused by COVID-19, with persistent complete remission (CR) of their lymphoma during the entire process. Unlike in acute infections, they do not have high levels of cytokines and do not respond to corticosteroids at this stage. We present this article in accordance with the CARE reporting checklist (available at https://cco.amegroups.com/article/view/10.21037/cco-24-106/rc).
Case presentation
Case 1
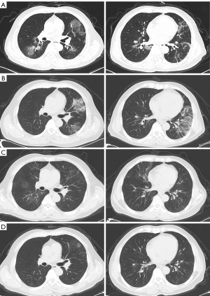
A 58-year-old man was enrolled in a clinical trial of anti-CD19 CAR T cell therapy (ChiCTR1800019622) as a refractory FL patient at our center in August 2020. The patient achieved CR with anti-CD19 CAR T-cell therapy. The patient maintained CR status without receiving any maintenance therapy. He was first diagnosed with COVID-19 and fever in January 2023 without receiving a vaccine against severe acute respiratory syndrome coronavirus 2 (SARS-CoV-2). The patient recovered quickly after a simple symptomatic therapy. Unfortunately, he developed COVID-19 for the second time in April 2023. He presented with symptoms of hyperpyrexia, dyspnea, coughing, and shortness of breath. The patient’s oxygen saturation was approximately 88–92% without oxygen inhalation. He had a positive test for SARS-CoV-2 (reverse transcription-polymerase chain reaction). The C-reactive protein (CRP) was 36.2 mg/L and interleukin (IL)-6 was 658 pg/mL, respectively. He had B-lymphocyte deficiency (expression of CD19 in B-lymphocytes in the peripheral blood was 3.42%) and hypogammaglobulinemia (12.3 g/L). Computed tomography (CT) performed on admission revealed interstitial pneumonia in both lungs (Figure 1A). This patient received Paxlovid, molnupiravir, methylprednisolone (80 mg, daily for 14 days), tocilizumab (4 mg/kg, daily for 3 days), and symptomatic treatment; however, the symptoms of dyspnea and hypoxemia were not relieved, and SARS-CoV-2 remained positive. In the following 4 months, he had persistent hypoxemia and persistent positive SARS-CoV-2 test, although he received continuous oxygen therapy and methylprednisolone (40–60 mg, daily) therapy.
He was readmitted to our hospital in August 2023 with severe hypoxemia, dyspnea, and shortness of breath. He had an oxygen saturation of 82–88% without oxygen inhalation. The CRP was 60.5 mg/L, IL-6 level was 471 pg/mL, and SARS-CoV-2 tested was positive. Interstitial pneumonia worsened, with multiple spots and ground-glass shadows in both lungs (Figure 1B). He was diagnosed with post-COVID-19 syndrome (over 12 weeks since infection) (10). Bronchoscopy revealed airway inflammation after hospitalization. No evidence of bacterial, fungal, or tuberculosis infections other than SARS-CoV-2 was detected in the alveolar lavage fluid. The patient was administered molnupiravir and methylprednisolone (160 mg daily for 14 days). However, hypoxemia and interstitial pneumonia progressed. Oxygen saturation was at 85–88% without oxygen inhalation. The SARS-CoV-2 tested was positive at this time. The patient subsequently received ruxolitinib (5 mg, twice daily) as salvage therapy in combination with a gradually reduced dose of methylprednisolone from September 2023. The CRP was 38.3 mg/L, and IL-6 was 49 pg/mL, respectively, at the beginning of salvage therapy. After 2 months of ruxolitinib therapy, oxygen saturation recovered to 92–96% without oxygen. Methylprednisolone was discontinued. CT showed that his interstitial pneumonia was significantly better than before salvage therapy (Figure 1C). At this point, the SARS-CoV-2 expression was negative. The CRP was 15.2 mg/L and IL-6 was 18.4 pg/mL, respectively (Table 1). Throughout the course of ruxolitinib therapy, the patient did not develop any degree of hemocytopenia. Two months later, he was diagnosed with COVID-19. However, his interstitial pneumonia did not progress again, and symptoms such as dyspnea did not recur (Figure 1D). Ruxolitinib was discontinued after 6 months of salvage therapy, during which interstitial pneumonia did not progress again, and SARS-CoV-2 detection continued to be negative. The lymphoma was in a persistent CR state during multiple COVID-19 infections. After ruxolitinib therapy, the patient’s lymphoma remained in continuous CR for 17 months.
Table 1
| Indicators | Case 1 | Case 2 |
|---|---|---|
| SARS-CoV-2 vaccine | No | No |
| CD19 in B lymphocyte (%) | 3.42 | 0.06 |
| Hypogammaglobulinemia (g/L) | 12.3 | 15.1 |
| Interval with CAR-T therapy (months) | 32 | 2 |
| First COVID-19 infection | ||
| SARS-CoV-2 | Positive | Positive |
| CRP (mg/L) | 36.2 | 75.3 |
| IL-6 (pg/mL) | 658 | 301 |
| Therapy | Symptomatic treatment | Molnupiravir, methylprednisolone |
| Pre-salvage therapy | ||
| SARS-CoV-2 | Positive | Positive |
| CRP (mg/L) | 60.5 | 58.3 |
| IL-6 (pg/mL) | 471 | 275 |
| Therapy | Paxlovid, molnupiravir, methylprednisolone | Paxlovid, methylprednisolone |
| Beginning of salvage therapy | ||
| SARS-CoV-2 | Positive | Positive |
| CRP (mg/L) | 38.3 | 45.1 |
| IL-6 (pg/mL) | 49 | 58 |
| Therapy | Molnupiravir, methylprednisolone, ruxolitinib | Molnupiravir, methylprednisolone, ruxolitinib |
| After salvage therapy | ||
| SARS-CoV-2 | Negative | Negative |
| CRP (mg/L) | 15.2 | 10.5 |
| IL-6 (pg/mL) | 18.4 | 8.2 |
CAR, chimeric antigen receptor; COVID-19, coronavirus disease 2019; CRP, C-reactive protein; IL, interleukin; SARS-CoV-2, severe acute respiratory syndrome coronavirus 2.
Case 2
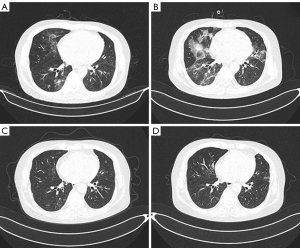
A 70-year-old man was enrolled in a clinical trial of anti-CD19 CAR T-cell therapy (ChiCTR1800019622) as a refractory FL patient at our center in November 2023. He was first diagnosed with COVID-19 when he was evaluated as having a CR in January 2024, without receiving a vaccine against SARS-CoV-2. He had symptoms of fever, cough, and breathlessness and had an oxygen saturation of 90–93% without oxygen inhalation. SARS-CoV-2 was found to be positive, while the CRP was 75.3 mg/L and the IL-6 level was 301 pg/mL. The expression of CD19 in B lymphocytes in the peripheral blood was 0.06%, and hypogammaglobulinemia was 15.1 g/L at this time. CT indicated interstitial pneumonia in both lungs (Figure 2A). He received molnupiravir, methylprednisolone (60 mg daily for 14 days), and symptomatic treatment, but his symptoms were not relieved, and SARS-CoV-2 remained positive. In the following 2 months, he received Paxlovid, methylprednisolone (40–60 mg, daily), and continuous oxygen therapy; however, he had persistent hypoxemia, severe cough, and persistent positive SARS-CoV-2 test results.
In March 2024, he was hospitalized again because of severe hypoxemia with a cough and an oxygen saturation of 86–99% without oxygen inhalation. The CRP was 58.3 mg/L and IL-6 was 275 pg/mL, respectively, and the SARS-CoV-2 remained positive. His interstitial pneumonia worsened, with ground-glass shadows in his left lung (Figure 2B). He was diagnosed with long COVID: ongoing symptomatic COVID-19 (4–12 weeks after infection) (10). Bronchoscopy revealed evidence of SARS-CoV-2 infection in alveolar lavage fluid. The patient received molnupiravir and methylprednisolone (160 mg daily for 3 days, followed by 80 mg daily for 7 days). However, his severe hypoxemia (oxygen saturation at 86–99% without oxygen inhalation) and cough did not resolve. The SARS-CoV-2 tested was positive at this time. The patient subsequently received ruxolitinib (5 mg, twice daily) in combination with a gradually reduced dose of methylprednisolone starting in March 2024. The CRP was 45.1 mg/L and IL-6 was 58 pg/mL at the beginning of salvage therapy. One month later, the oxygen saturation of the patient was about 91–93% without oxygen inhalation. Two months after salvage therapy with ruxolitinib, oxygen saturation returned to 95–97% without methylprednisolone. CT revealed significant absorption of interstitial pneumonia (Figure 2C,2D). His SARS-CoV-2 test results were negative, while the CRP was 10.5 mg/L and IL-6 was 8.2 pg/mL, respectively (Table 1). He did not develop any degree of hemocytopenia during ruxolitinib salvage therapy. The lymphoma was in a persistent CR state during multiple COVID-19 infections. In particular, the lymphoma remained in a continuous state of CR for approximately 10 months.
Ethical consideration
All procedures performed in this study were in accordance with the ethical standards of the institutional and/or national research committee(s), and with the Helsinki Declaration and its subsequent amendments. Written informed consent was obtained from the patients for the publication of this case report and accompanying images. A copy of the written consent is available for review by the editorial office of this journal.
The CD19 CAR-T cell therapy in R/R B cell lymphoma was approved by the Medical Ethics Committee of the Department of Hematology, Tianjin First Center Hospital (Tianjin, China) (No. 2018N105KY). This Clinical trial of CD19 CAR-T cell therapy was registered at Chinese Clinical Trial Registry (http://www.chictr.org.cn/index.aspx) on November 21, 2018 (ChiCTR1800019622).
Discussion
Anti-CD19 CAR T-cell therapy is an effective salvage therapy for relapsed/refractory in patients with FL. The CR rates, according to the Lugano criteria, were 88% and 46% for patients with FL and histologically transformed FL, respectively (11,12). However, there are some complications associated with anti-CD19 CAR T-cell therapy, such as B-lymphocyte deficiency and hypogammaglobulinemia. The study has shown that 29% of patients have low IgG levels at 63 days after anti-CD19 CAR T-cell therapy (13). Immunocompromised patients with B lymphocyte deficiency and hypogammaglobulinemia after anti-CD19 CAR T cell therapy are at a high risk of severe COVID-19 infection (14). Even worse is the persistence of COVID-19 infection in patients who received anti-CD19 CAR T cell therapy, with two out of three patients persisting for more than 5 months (15). In our report, two patients with refractory FL had persistent COVID-19 when they had B lymphocyte deficiency and hypogammaglobulinemia after anti-CD19 CAR T cell therapy.
An Italian study showed that 32% of 143 hospitalized patients with general COVID-19 continued to have at least one to two symptoms, and 55% had three or more symptoms within 60 days of COVID-19 infection (16). The hyper-inflammatory response in the lungs triggered by COVID-19 can lead to dyspnea. Approximately 15% of patients with COVID-19 progress to severe pneumonia, and 5% develop acute respiratory distress syndrome (ARDS) or multiple organ failure (17). Cytokine storm is a characteristic and common manifestation of severe COVID-19. Plasma levels of pro-inflammatory cytokines were high in patients with severe COVID-19 infection, such as IL-2, IL-6, IL-7, IL-10, granulocyte colony-stimulating factor (G-CSF), interferon-gamma (IFN-γ), interferon gamma-induced protein 10 (IP-10/CXCL10), and tumor necrosis factor-alpha (TNF-α) (18,19). Type I and II cytokine receptors associate with JAKs to affect intracellular signaling, mediate cellular responses, and influence cell survival and proliferation (20). Ruxolitinib, a JAK2 inhibitor, has immunomodulatory effects, decreases multiple inflammatory biomarkers, and affects multiple inflammation-related activities (9). In some studies, patients with progressive COVID-19-related ARDS who received ruxolitinib therapy achieved clinical improvements compared to those who received standard care (21-23). In two of our patients, we referred to a previous report that ruxolitinib was administered at a dose of 5 mg BID (21). Because respiratory function did not worsen and to avoid severe hematological toxicity, we did not increase the dose of ruxolitinib. Although ruxolitinib therapy did not increase the rate of grade 3–4 cytopenias, the rates of grade 1–2 anemia and thrombocytopenia were still relatively high (24,25). In our study, interstitial inflammation and persistent hypoxemia were relieved 1–2 months after salvage therapy with ruxolitinib, without any degree of hemocytopenia. This may be related to the relatively low dose of ruxolitinib. In addition, it is worth noting that our two patients had lymphomas with persistent CR status during salvage therapy with ruxolitinib and 17 and 10 months after ruxolitinib therapy, respectively. Our results are consistent with literature reporting that ruxolitinib successfully treated severe cytokine release syndrome in CAR-T therapy without affecting efficacy of CAR-T therapy (26,27).
Although corticosteroids were the first method that showed a 36% reduction in mortality among patients with COVID-19 (25,28), several studies of patients with B lymphocyte deficiency and corticosteroids showed no substantial impact on the outcomes, including survival (28,29). Ruxolitinib may be a safe and effective alternative salvage therapy for patients with COVID-19 having interstitial inflammation and persistent hypoxemia who do not respond to corticosteroid therapy.
Conclusions
In the future, we will conduct clinical studies to explore the dose and timing of ruxolitinib for interstitial pneumonia after long COVID or post-COVID-19 syndrome.
Acknowledgments
None.
Footnote
Reporting Checklist: The authors have completed the CARE reporting checklist. Available at https://cco.amegroups.com/article/view/10.21037/cco-24-106/rc
Peer Review File: Available at https://cco.amegroups.com/article/view/10.21037/cco-24-106/prf
Funding: This work was supported by
Conflicts of Interest: All authors have completed the ICMJE uniform disclosure form (available at https://cco.amegroups.com/article/view/10.21037/cco-24-106/coif). The authors have no conflicts of interest to declare.
Ethical Statement: The authors are accountable for all aspects of the work in ensuring that questions related to the accuracy or integrity of any part of the work are appropriately investigated and resolved. All procedures performed in this study were in accordance with the ethical standards of the institutional and/or national research committee(s), and with the Helsinki Declaration and its subsequent amendments. Written informed consent was obtained from the patients for the publication of this case report and accompanying images. A copy of the written consent is available for review by the editorial office of this journal.
Open Access Statement: This is an Open Access article distributed in accordance with the Creative Commons Attribution-NonCommercial-NoDerivs 4.0 International License (CC BY-NC-ND 4.0), which permits the non-commercial replication and distribution of the article with the strict proviso that no changes or edits are made and the original work is properly cited (including links to both the formal publication through the relevant DOI and the license). See: https://creativecommons.org/licenses/by-nc-nd/4.0/.
References
- Regalado-Artamendi I, Jiménez-Ubieto A, Hernández-Rivas JÁ, et al. Risk Factors and Mortality of COVID-19 in Patients With Lymphoma: A Multicenter Study. Hemasphere 2021;5:e538. [Crossref] [PubMed]
- Duléry R, Lamure S, Delord M, et al. Prolonged in-hospital stay and higher mortality after Covid-19 among patients with non-Hodgkin lymphoma treated with B-cell depleting immunotherapy. Am J Hematol 2021;96:934-44. [Crossref] [PubMed]
- Hueso T, Pouderoux C, Péré H, et al. Convalescent plasma therapy for B-cell-depleted patients with protracted COVID-19. Blood 2020;136:2290-5. [Crossref] [PubMed]
- Fried S, Avigdor A, Bielorai B, et al. Early and late hematologic toxicity following CD19 CAR-T cells. Bone Marrow Transplant 2019;54:1643-50. [Crossref] [PubMed]
- Busca A, Salmanton-García J, Corradini P, et al. COVID-19 and CAR T cells: a report on current challenges and future directions from the EPICOVIDEHA survey by EHA-IDWP. Blood Adv 2022;6:2427-33. [Crossref] [PubMed]
- Yang LL, Yang T. Pulmonary rehabilitation for patients with coronavirus disease 2019 (COVID-19). Chronic Dis Transl Med 2020;6:79-86. [PubMed]
- Morimoto A, Nakazawa Y, Ishii E. Hemophagocytic lymphohistiocytosis: Pathogenesis, diagnosis, and management. Pediatr Int 2016;58:817-25. [Crossref] [PubMed]
- Vainchenker W, Dusa A, Constantinescu SN. JAKs in pathology: role of Janus kinases in hematopoietic malignancies and immunodeficiencies. Semin Cell Dev Biol 2008;19:385-93. [Crossref] [PubMed]
- Singer JW, Al-Fayoumi S, Taylor J, et al. Comparative phenotypic profiling of the JAK2 inhibitors ruxolitinib, fedratinib, momelotinib, and pacritinib reveals distinct mechanistic signatures. PLoS One 2019;14:e0222944. [Crossref] [PubMed]
- Soriano JB, Murthy S, Marshall JC, et al. A clinical case definition of post-COVID-19 condition by a Delphi consensus. Lancet Infect Dis 2022;22:e102-7. [Crossref] [PubMed]
- Nierengarten MB. FDA grants accelerated approval of mosunetuzumab for relapsed, refractory follicular lymphoma. Cancer 2023;129:1465-6. [Crossref] [PubMed]
- Hirayama AV, Gauthier J, Hay KA, et al. High rate of durable complete remission in follicular lymphoma after CD19 CAR-T cell immunotherapy. Blood 2019;134:636-40. [Crossref] [PubMed]
- Vora SB, Waghmare A, Englund JA, et al. Infectious Complications Following CD19 Chimeric Antigen Receptor T-cell Therapy for Children, Adolescents, and Young Adults. Open Forum Infect Dis 2020;7:ofaa121. [Crossref] [PubMed]
- Jones JM, Faruqi AJ, Sullivan JK, et al. COVID-19 Outcomes in Patients Undergoing B Cell Depletion Therapy and Those with Humoral Immunodeficiency States: A Scoping Review. Pathog Immun 2021;6:76-103. [Crossref] [PubMed]
- Mushtaq MU, Shahzad M, Chaudhary SG, et al. Impact of SARS-CoV-2 in Hematopoietic Stem Cell Transplantation and Chimeric Antigen Receptor T Cell Therapy Recipients. Transplant Cell Ther 2021;27:796.e1-7. [Crossref] [PubMed]
- Carfì A, Bernabei R, Landi F, et al. Persistent Symptoms in Patients After Acute COVID-19. JAMA 2020;324:603-5. [Crossref] [PubMed]
- Guan WJ, Ni ZY, Hu Y, et al. Clinical Characteristics of Coronavirus Disease 2019 in China. N Engl J Med 2020;382:1708-20. [Crossref] [PubMed]
- Huang C, Wang Y, Li X, et al. Clinical features of patients infected with 2019 novel coronavirus in Wuhan, China. Lancet 2020;395:497-506. [Crossref] [PubMed]
- Xu Z, Shi L, Wang Y, et al. Pathological findings of COVID-19 associated with acute respiratory distress syndrome. Lancet Respir Med 2020;8:420-2. [Crossref] [PubMed]
- O’Shea JJ, Schwartz DM, Villarino AV, et al. The JAK-STAT pathway: impact on human disease and therapeutic intervention. Annu Rev Med 2015;66:311-28. [Crossref] [PubMed]
- Vannucchi AM, Sordi B, Morettini A, et al. Compassionate use of JAK1/2 inhibitor ruxolitinib for severe COVID-19: a prospective observational study. Leukemia 2021;35:1121-33. [Crossref] [PubMed]
- Capochiani E, Frediani B, Iervasi G, et al. Ruxolitinib Rapidly Reduces Acute Respiratory Distress Syndrome in COVID-19 Disease. Analysis of Data Collection From RESPIRE Protocol. Front Med (Lausanne) 2020;7:466. [Crossref] [PubMed]
- La Rosée F, Bremer HC, Gehrke I, et al. The Janus kinase 1/2 inhibitor ruxolitinib in COVID-19 with severe systemic hyperinflammation. Leukemia 2020;34:1805-15. [Crossref] [PubMed]
- Cao Y, Wei J, Zou L, et al. Ruxolitinib in treatment of severe coronavirus disease 2019 (COVID-19): A multicenter, single-blind, randomized controlled trial. J Allergy Clin Immunol 2020;146:137-146.e3. [Crossref] [PubMed]
- The RECOVERY Collaborative Group. Dexamethasone in Hospitalized Patients with Covid-19. N Engl J Med 2021;384:693-704. [Crossref] [PubMed]
- Gu C, Wu Q, Zhang J, et al. Successful treatment of severe cytokine release syndrome after CAR-T therapy by ruxolitinib without compromising CAR-T efficacy. Leuk Lymphoma 2023;64:495-8. [Crossref] [PubMed]
- Pan J, Deng B, Ling Z, et al. Ruxolitinib mitigates steroid-refractory CRS during CAR T therapy. J Cell Mol Med 2021;25:1089-99. [Crossref] [PubMed]
- Hueso T, Godron AS, Lanoy E, et al. Convalescent plasma improves overall survival in patients with B-cell lymphoid malignancy and COVID-19: a longitudinal cohort and propensity score analysis. Leukemia 2022;36:1025-34. [Crossref] [PubMed]
- Roeker LE, Eyre TA, Thompson MC, et al. COVID-19 in patients with CLL: improved survival outcomes and update on management strategies. Blood 2021;138:1768-73. [Crossref] [PubMed]

