Giant non-functioning adrenocortical carcinoma: a case report and literature review
Highlight box
Key findings
• This case describes one of the largest reported adrenocortical carcinomas (ACC), measuring 31 cm and weighing 4.7 kg. Early imaging led to successful surgical resection, and histopathology confirmed ACC. The case underscores the importance of early detection, prompt surgery, and the need for improved guidelines in managing this rare, aggressive tumor.
What is known and what is new?
• ACC is a rare and highly aggressive malignancy with a poor prognosis. Early diagnosis is challenging due to non-specific symptoms, and complete surgical resection remains the mainstay of potentially curative treatment.
• This report presents one of the largest ACCs ever documented, successfully managed with complete surgical excision. It demonstrates that even massive ACCs can be managed successfully with prompt diagnosis and surgery, challenging assumptions about tumor size and resectability.
What is the implication, and what should change now?
• This case highlights that tumor size alone should not preclude surgical intervention in suspected ACC. Early imaging and expedited surgical referral are essential, even in cases with massive tumors. There is a pressing need to establish clearer diagnostic pathways and a multidisciplinary management protocol for ACC. In addition, creating centralized case registries and encouraging collaborative research will help generate data to guide evidence-based treatment strategies for this rare and aggressive malignancy.
Introduction
Adrenocortical carcinoma (ACC) is a rare and aggressive malignancy. Its incidence is approximately 1–2 cases per million people per year. It is more frequent in women than in men, with a ratio of 1.5:1 (1). It can appear at any age, but the maximal incidence is in adults aged 40 to 50 years. Most ACCs are sporadic in origin, but they can be part of congenital or familial diseases. Patients with ACC may present with symptoms of abdominal mass and, in 40% to 60% of cases, symptoms of hormonal hypertension (2). Computed tomography scanning can usually distinguish an adrenal adenoma from ACC. When local invasion into surrounding organs or major vessels needs to be identified, magnetic resonance imaging (MRI) can be used complementary to CT scanning. Most ACCs are more than 4 cm in diameter. The European Network for the Study of Adrenal Tumors (ENSAT) has advanced the field of staging and classification of ACCs. A tumor size of less than or equal to 5 cm is defined as stage 1, while a size greater than 5 cm is defined as stage 2. Stage 3 is defined as a tumor with local spread without infiltration of surrounding organs or any tumor size with a positive lymph node. Stage 4 includes tumors with infiltration of surrounding organs or distant metastasis. The most common sites of metastasis are the lung, liver, and bone. Complete surgical resection is the cornerstone of treatment, and it is virtually the only option to achieve a cure. The need for adjuvant treatment is debated. Some multicenter studies have demonstrated that the risk of recurrence, along with mortality, is reduced with the use of the adrenolytic agent mitotane. Most centers now recommend the use of mitotane after surgical resection. In cases with incomplete resection (R1) or uncertain resection, adjuvant radiotherapy (RT) can be offered, in addition to mitotane (3). We present this case in accordance with the CARE reporting checklist (available at https://cco.amegroups.com/article/view/10.21037/cco-25-26/rc).
Case presentation
A 51-year-old male ex-smoker with an average body build presented at our facility after being referred from a peripheral hospital with an incidental finding of intra-abdominal mass, most likely originating from the left adrenal gland, which was diagnosed by CT scan. The patient has had hypertension and is on antihypertensive medication. He sought medical advice as he had been experiencing intermittent chest pain for two months. He initially reported a history of abdominal discomfort and had a large palpable abdominal mass. However, by the time of his presentation to our department, he was asymptomatic. He denied any history of nausea, vomiting, or changes in his bowel habits. He had no urinary symptoms and had no history of night sweats or hot flashes. There was no other significant past medical or surgical history.
On clinical examination, the patient looked well and had a good body build. His blood pressure was controlled with medication. An abdominal examination revealed a palpable mass occupying the left upper and lower quadrants, with well-demarcated borders that were hard in consistency (Figure 1). There was no abnormal discoloration or lower limb edema.
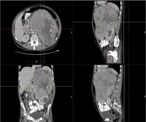
A CT scan of the abdomen with intravenous contrast showed a large, well-circumscribed, hypo-enhancing mass with necrosis; a few calcifications were seen in the left upper abdomen above the left kidney, displacing the adjacent organs and structures but with no invasion. The mass measured about 17.1 cm × 20.7 cm × 26 cm, with an indiscernible ipsilateral suprarenal gland. Splenic and left renal vein varicosities were seen with otherwise well-contrasting opacification and no filling defects. The right kidney appeared normal in size, shape, and orientation. The left kidney was normal in size and shape and was displaced inferiorly by the mass, but not invaded, and demonstrated a large, well-circumscribed cystic lesion in the mid portion measuring 5 cm × 4 cm. The radiological conclusion was that the patient had a huge left suprarenal mass with features highly suggestive of adrenal carcinoma, with no evidence of gastric or renal invasion (Figure 2). Based on the radiological findings of a large tumor confined to the adrenal gland with no evidence of lymph node involvement or distant metastasis, the tumor was classified as ENSAT stage II at initial diagnosis.
The patient was assessed by an endocrinologist. A 24-hour urine collection for the measurement of dopamine, epinephrine and norepinephrine, plasma renin/aldosterone ratio, and adrenocorticotropic hormone (ACTH) and cortisol levels revealed no laboratory evidence of functional adrenal mass.
We proceeded to an imaging workup with a CT chest scan to rule out metastasis; the scan was negative. In addition, the patient underwent a renogram scan to assess kidney function. The calculated glomerular filtration rate (GFR) for the right kidney was 48.5 mL/min, which accounts a 72% of total renal function. The calculated GFR for the left kidney was 18.9 mL/min, which amounts to 28% of total renal function.
Based on the patient’s clinical presentation and the laboratory and radiological results, our plan was to prepare the patient for open exploration and left adrenalectomy with the possibility of left nephrectomy.
Upon assessment by our cardiology colleagues, the patient was diagnosed with unstable angina, and they recommended postponing any surgical intervention for two weeks. The patient was discharged home and readmitted again in preparation for surgery. He was reassessed by the cardiologist, who found concerning electrocardiogram (ECG) changes. Cardiac catheterization was recommended and showed 80% stenosis of the left anterior descending (LAD), and a stent was applied. The patient had to start antiplatelet therapy. Discussion with the cardiology and anesthesia teams resulted in postponement of the surgery for 1 month.
The patient was readmitted for surgery as planned. Intraoperatively, there was a huge, encapsulated mass from the left adrenal gland, which was completely resected. The left kidney was preserved. The mass was attached to the spleen and distal pancreas, so we proceeded with a splenectomy and distal pancreatectomy (Figure 3), along with a loco-regional lymphadenectomy performed to ensure accurate staging and reduce recurrence risk. The patient was admitted to the intensive care unit (ICU) for 24 hours postoperatively. The postoperative course was uneventful, and the patient was discharged on postoperative day 6, following standard recovery protocols.
Histopathology
The specimen sent to the histopathology department was preserved in formalin and showed a huge adrenal mass, spleen, and part of the pancreas. The tumor measured 31 cm × 21 cm × 17 cm (Figure 4) and weighed 4.7 kg (Figure 5).
The slides showed ACC with vascular invasion and violation of the capsule. The pancreatic tissue revealed focal sclerosing pancreatitis and no sign of invasion of the pancreas or spleen (Figure 6). Based on these findings, the tumor was classified as ENSAT stage III per the ENSAT staging criteria.
Follow-up
The medical oncologist and endocrinologist followed up with the patient for the next two years. Adjuvant treatment with mitotane was initiated, with no significant side effects. The patient had repeated chest, abdomen, and pelvis CT scans, which revealed no signs of local recurrence or distal metastasis.
All procedures were conducted in accordance with the ethical standards of the institutional research committees and with the Declaration of Helsinki and its subsequent amendments. Written informed consent was obtained from the patient for the publication of this case report and accompanying images. A copy of the written consent is available for review by the editorial office of this journal.
Discussion
ACC arises from the adrenal cortex, which secretes hormones like glucocorticoids, mineralocorticoids, and androgens. Thus, approximately 60–70% of patients who have ACC will manifest as Cushing’s syndrome, Conn’s syndrome, virilization, or feminization (4,5). However, some ACCs may be nonfunctional. Most patients who have nonfunctional ACCs are present with locally advanced disease or metastasis, which generally results in a poor outcome. To the best of our knowledge, our case describes the largest nonfunctional ACC reported in the literature. Some previously reported ACC cases are shown in Table 1.
Table 1
| Study | Year | Size of the tumor (cm) | Weight of the tumor | Outcome |
|---|---|---|---|---|
| Hermsen (6) | 2008 | 8 | 98 g | Local recurrence after 2 years with tumor measuring 11 cm with local invasion |
| 2008 | 9 | 110 g | Local and distal metastasis after 4 years | |
| 2008 | 12 | 300 g | Local recurrence after 7 years | |
| 2008 | 14 | 725 g | Distal metastasis upon diagnosis | |
| Siosaki (7) | 2014 | 20×18 | – | Disease-free for 8 months |
| Benassai (2) | 2014 | 24×21×19 | – | No recurrence after 60 months |
| Fulawka (8) | 2014 | 22×17×10 | – | Died due to hemorrhage |
| Straka (9) | 2014 | 26 | 2,372 g | Local recurrence after 36 months |
| Meshikhes (10) | 2016 | 25×10×9 | 2.11 kg | Died after 3 months |
| Almuallem (11) | 2018 | 18 | 590 g | No follow-up |
| Chatzoulis (12) | 2018 | 23.7×16.5×11.5 | – | Disease-free for 1.6 years |
| 2018 | 7×7×9 | – | Disease-free for a year | |
| Mantzoros (13) | 2021 | 21.2×13×14.6 | – | Recurrence after a year, then the patient underwent to second operation remain disease-free 18 months after reoperation |
| This case | 2025 | 31×21×17 | 4.7 kg | Disease-free for 24 months |
ACC, adrenocortical carcinoma.
A recent study showed that the 5-year survival rate of patients with ACC reached up to 60%. Positive prognostic factors that predict overall survival (OS) are early-stage disease with no lymph node involvement or distant metastases, age of less than 40 years, and negative resection margins (R0) (14,15).
In a systematic review by de Padua et al., published in 2023, no clinical trials for neoadjuvant therapy in ACC were identified. This approach is not recommended by current guidelines outside of clinical trials. However, a small single-center study involving 53 ACC patients eligible for surgery included 15 individuals deemed borderline resectable who received neoadjuvant therapy (either mitotane monotherapy or combined with cytotoxic chemotherapy). The response rate was 38.5%, and 7 additional patients achieved stable disease. The median disease-free survival (DFS) for those treated with neoadjuvant therapy followed by surgery was 28.0 months, indicating a potential benefit of this approach (16).
For suspected localized ACC, the recommended standard of care is to perform an upfront open adrenalectomy combined with loco-regional lymphadenectomy, aiming for negative margins. Retrospective studies indicate that laparoscopic adrenalectomy (LA) may be linked to an increased risk of local recurrence and peritoneal spread. European Society of Endocrine Surgeons (ESES) and the European Network for the Study of Adrenal Tumors (ENSAT), LA is recommended only as an alternative approach for suspected localized ACC when the tumor is less than 6 cm in diameter, with no lymph node involvement or local invasion. After resection, cause the lack of prospective studies and the rarity of ACC, several prognostic factors can be utilized to estimate the risk of recurrence and support the decision to use adjuvant therapy (16).
Types of adjuvant therapies: RT is commonly used as an adjuvant treatment for various types of cancers to reduce the risk of tumor recurrence. The first study evaluating the effectiveness of RT in patients with ACC was published in 2006, for 28 patients, 14 who had surgery alone and 14 who had received adjuvant RT. The 5-year recurrence-free survival rate was higher in RT group, while OS was not significantly different between two groups (17).
The ADIUVO observational study investigated the benefit of adjuvant treatment with mitotane after surgery [a synthetic derivative of the insecticide dichlorodiphenyltrichloroethane (DDT)] for patients at high risk of recurrence of ACC and concluded that the 5-year recurrence-free survival rate was 75%. However, the drug showed no benefit for patients at low risk of recurrence (12,18). Our patient was at stage III and has been disease-free for 2 years (taking mitotane).
The literature reports cases of patients who used mitotane and showed regression of tumor size, complete remission without surgery, and freedom from disease for a longer period (6).
Ongoing research is aimed to identify immunotherapy target for ACC. Thus far, studies have mainly explored its use as a salvage treatment for tumors unresponsive to stander treatments date, no studies have investigated the use immunotherapy in the adjuvant setting (17). Recent phase I and II trials have explored targeted therapy and immune checkpoint inhibitors (ICIs) as alternatives for treating advanced ACC, but results have been disappointing, with limited efficacy. According to phase II data, pembrolizumab which target programmed cell death protein 1 (PD-1) is recommended as a treatment option in consensus and National Comprehensive Cancer Network (NCCN) guidelines. Notably, previous studies suggest that glucocorticoid-producing tumors may be less responsive to ICIs compared to non-functioning tumors, likely due to immune suppression induced by cortisol (19).
Unresectable or metastatic ACC carries a very poor prognosis. Systemic therapies are limited, offering only modest benefits while being associated with high toxicity rates. The available evidence primarily comes from retrospective studies and small non-randomized trials. Mitotane is the only drug approved by the Food and Drug Administration (FDA), and it can be recommended either as a monotherapy or in combination with cytotoxic chemotherapy. The phase III FIRM-ACT trial identified the combination of cisplatin, etoposide, doxorubicin, and mitotane as the preferred first-line treatment for unresectable or metastatic ACC. Recent studies further support the role of open adrenalectomy with lymphadenectomy and adjuvant mitotane in managing large ACCs, consistent with the approach in this case. Due to the rarity of giant non-functioning ACC, foundational literature remains critical for understanding its pathophysiology and treatment (20,21).
Recent molecular profiling of ACC tumors has revealed potential targets for precision medicine. An extensive analysis of 45 ACC cases identified alterations in several known driver genes, including TNNB1, TP53, CDKN2A, RB1, MEN1, ZNRF3, DAXX, TERT, and MED12. These findings were subsequently validated in an independent cohort of 77 ACC cases from ENSAT participating centers (16). The NCCN guidelines recommend genetic counseling and testing for inherited genetic syndromes (germline). They also suggest evaluating tumor microsatellite instability (MSI), mismatch repair (MMR) status, and tumor mutational burden (TMB) using FDA-approved tests. In 2018, the FDA approved pembrolizumab as a tumor-agnostic therapy for solid tumors with high MSI-H or MMR following progression on standard treatments. Additionally, the FDA recently granted accelerated approval for the combination of dabrafenib and trametinib for the treatment of unresectable or metastatic solid tumors with a BRAF V600E mutation that are resistant to conventional therapies (16).
Conclusions
ACC is a rare and aggressive tumor with a poor prognosis. We present the case of a male who was incidentally diagnosed with nonfunctioning ACC. With no evidence of metastasis, he underwent adrenalectomy followed by adjuvant treatment with mitotane. To the best of our knowledge, our case describes the largest nonfunctional ACC reported in the literature.
Acknowledgments
None.
Footnote
Reporting Checklist: The authors have completed the CARE reporting checklist. Available at https://cco.amegroups.com/article/view/10.21037/cco-25-26/rc
Peer Review File: Available at https://cco.amegroups.com/article/view/10.21037/cco-25-26/prf
Funding: None.
Conflicts of Interest: All authors have completed the ICMJE uniform disclosure form (available at https://cco.amegroups.com/article/view/10.21037/cco-25-26/coif). The authors have no conflicts of interest to declare.
Ethical Statement: The authors are accountable for all aspects of the work in ensuring that questions related to the accuracy or integrity of any part of the work are appropriately investigated and resolved. All procedures performed in this study were in accordance with the ethical standards of the institutional and/or national research committee(s) and with the Declaration of Helsinki and its subsequent amendments. Written informed consent was obtained from the patient for the publication of this case report and accompanying images. A copy of the written consent is available for review by the editorial office of this journal.
Open Access Statement: This is an Open Access article distributed in accordance with the Creative Commons Attribution-NonCommercial-NoDerivs 4.0 International License (CC BY-NC-ND 4.0), which permits the non-commercial replication and distribution of the article with the strict proviso that no changes or edits are made and the original work is properly cited (including links to both the formal publication through the relevant DOI and the license). See: https://creativecommons.org/licenses/by-nc-nd/4.0/.
References
- Fassnacht M, Libé R, Kroiss M, et al. Adrenocortical carcinoma: a clinician's update. Nat Rev Endocrinol 2011;7:323-35. [Crossref] [PubMed]
- Benassai G, Desiato V, Benassai G, et al. Adrenocortical carcinoma: what the surgeon needs to know. Case report and literature review. Int J Surg 2014;12:S22-8. [Crossref] [PubMed]
- Bilimoria KY, Shen WT, Elaraj D, et al. Adrenocortical carcinoma in the United States: treatment utilization and prognostic factors. Cancer 2008;113:3130-6. [Crossref] [PubMed]
- Bourdeau I, MacKenzie-Feder J, Lacroix A. Recent advances in adrenocortical carcinoma in adults. Curr Opin Endocrinol Diabetes Obes 2013;20:192-7. [Crossref] [PubMed]
- Weissferdt A, Phan A, Suster S, et al. Adrenocortical carcinoma: a comprehensive immunohistochemical study of 40 cases. Appl Immunohistochem Mol Morphol 2014;22:24-30. [Crossref] [PubMed]
- Hermsen IG, Gelderblom H, Kievit J, et al. Extremely long survival in six patients despite recurrent and metastatic adrenal carcinoma. Eur J Endocrinol 2008;158:911-9. [Crossref] [PubMed]
- Siosaki MD, Pelafsky L, Fonseca Siosaki AT, et al. Adrenocortical Carcinoma in an Adult: Eight Months without Recurrence after Resection and Adjuvant Chemotherapy. Case Rep Oncol 2014;7:222-7. [Crossref] [PubMed]
- Fulawka L, Patrzalek D, Halon A. Adrenal cortical carcinoma with extension into the inferior vena cava--case report and literature review. Diagn Pathol 2014;9:51. [Crossref] [PubMed]
- Straka M, Soumarova R, Bulejcik J, et al. Giant adrenocortical carcinoma with 27-month disease-free survival by surgical resection alone: a case report. Biomed Pap Med Fac Univ Palacky Olomouc Czech Repub 2014;158:474-8. [Crossref] [PubMed]
- Meshikhes AW, Abdel Gawad WM, Al-Saeed JY. Young male with left adrenal mass. BMJ Case Rep 2016;2016:bcr2016215669. [Crossref] [PubMed]
- Almuallem S, Abualhamael S, Mosli H, et al. Adrenocortical carcinoma in a young patient: report of a rare case and review of the literature at king Abdulaziz University hospital. Int Arch Urol Complic 2018;4:048.
- Chatzoulis G, Passos I, Bakaloudi DR, et al. Giant nonfunctioning adrenal tumors: two case reports and review of the literature. J Med Case Rep 2018;12:335. [Crossref] [PubMed]
- Mantzoros I, Bitsianis S, Loutzidou L, et al. Giant Adrenocortical Carcinoma: A Case Report and Review of the Relevant Literature. Am J Case Rep 2021;22:e928875. [Crossref] [PubMed]
- Almarzouq A, Asfar S, Hussain S, et al. Giant nonfunctioning adrenocortical carcinoma: a case report and review of the literature. BMC Res Notes 2014;7:769. [Crossref] [PubMed]
- Vassilopoulou-Sellin R, Schultz PN. Adrenocortical carcinoma. Clinical outcome at the end of the 20th century. Cancer 2001;92:1113-21. [Crossref] [PubMed]
- Padua TC, Marandino L, Raggi D, et al. A Systematic Review of Published Clinical Trials in the Systemic Treatment of Adrenocortical Carcinoma: An Initiative Led on Behalf of the Global Society of Rare Genitourinary Tumors. Clin Genitourin Cancer 2023;21:1-7. [Crossref] [PubMed]
- Al-Ward R, Zsembery C, Habra MA. Adjuvant therapy in adrenocortical carcinoma: prognostic factors and treatment options. Endocr Oncol 2022;2:R90-R101. [Crossref] [PubMed]
- Berruti A, Fassnacht M, Libè R, Lacroix A, Kastelan D, Haak H, et al. First randomized trial on adjuvant mitotane in adrenocortical carcinoma patients: The Adjuvo study. J Clin Oncol 2022;40:001.
- Habra MA, Stephen B, Campbell M, et al. Phase II clinical trial of pembrolizumab efficacy and safety in advanced adrenocortical carcinoma. J Immunother Cancer 2019;7:253. [Crossref] [PubMed]
- Fassnacht M, Puglisi S, Kimpel O, et al. Adrenocortical carcinoma: a practical guide for clinicians. Lancet Diabetes Endocrinol 2025;13:438-52. [Crossref] [PubMed]
- Maharajh SK, Ashoush F, Ramsingh JK. Surgical outcomes from robotic-assisted adrenalectomy: a case series on experience in a large tertiary referral centre. Surg Endosc 2025;39:802-6. [Crossref] [PubMed]




